دراسة تحذر:
إعوجاج أسنان الطفل علامة على سوء التغذية
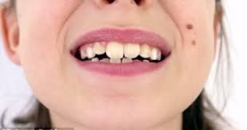
اعوجاج الاسنان
كثير من الأطفال يعانون من إعوجاج الأسنان، خاصة بالجزء الأمامى من الفك، ويعتبر الآباء أنه شىء عادى، لكن كشفت دراسة علمية حديثة أشرف عليها باحثون أمريكيون أنها يمكن أن تكون علامة على الموت المبكر.
ووفقاً لصحيفة "ديلي ميل" البريطانية، وجد الباحثون من جامعة واشنطن أنه على الرغم من أن الأسنان المعوجة قابلة للاعتدال مع طبيب الأسنان لكنها يمكن أن تكون علامة على الموت المبكر.
وقد أظهرت الدراسة أن إعوجاج الأسنان علامة على سوء التغذية فى الرحم، وهذا قد يترتب عليه الإصابة بمرض السكري وأمراض القلب والسرطان في وقت لاحق من الحياة.
وقد اعتبر الوزن المنخفض للولادة منذ فترة طويلة علامة على سوء التغذية في الرحم، ويمكن أن يشير أيضاً إلى المشاكل الصحية أو تعاطي الأم للمخدرات، والعوامل الوراثية، ومشاكل المشيمة.
ونتيجة لذلك، قد يصاب بعض الأطفال بالمرض في الأيام الأولى من حياتهم أو يصابون بأمراض مختلفة، كما أنهم معرضون للأمراض المزمنة أثناء نموهم.
وأضاف الباحث الرئيسي فى الدراسة الدكتور "فيليب هجول" من جامعة واشنطن، أن سوء تغذية الأم فى فترة الحمل وما قبلها يؤدى إلى مشاكل فى النمو والتركيز ومستوى الذكاء للطفل فيما بعد.



